Des images du cerveau à la précision jusqu'alors inégalée. Voilà ce qu'a dévoilé le Commissariat à l’énergie Atomique (CEA) en France en ce début du mois d’avril 2024. Cette information est rapportée par le médecin radiologue Dr Bounhir BOUMEHDI.
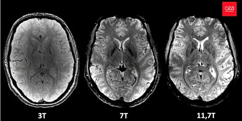
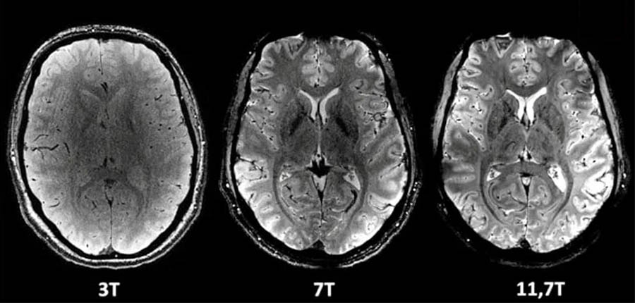
Les chercheurs français ont rendu publiques les premières images du cerveau humain obtenues par l'IRM (imagerie par résonance magnétique) la plus puissante au monde, l’Iseult.
Appelé Iseult, cet IRM hautement perfectionné a été conçu et développé par le CEA, le fruit d'une vingtaine d'années de recherche.
« C'est une première mondiale d'envergure dans le domaine de l'imagerie cérébrale », indique Alexandre Vignaud, directeur de recherche au CEA.

Les images sont les plus précises jamais publiées. Avec 11,7 teslas, l'IRM Iseult a une puissance bien supérieure aux outils de l'imagerie médicale jusqu'à maintenant utilisés dans les centres hospitaliers et les centres de radiologie (de 1,5 à 3 teslas) ou à d'autres appareils (à 7 teslas).
Autre perspective d'étude, ce nouvel IRM permettra « d'établir un meilleur diagnostic et une prise en charge des maladies neurodégénératives telles qu'Alzheimer ou Parkinson » avec pour objectif de « comprendre l'efficacité de certains médicaments en évaluant leur distribution dans le cerveau », conclut Alexandre Vignaud.
Avec Iseult, c'est un monde inconnu qui s'ouvre devant les chercheur du monde avec toutes les possibilités d’exploration, notamment du cerveau.
Et c'est à l'horizon 2026-2030 que les premières pathologies neurodégénératives pourront être explorées.
Pour l’instant,l’Iseult, apparel unique dans le monde et d'un poids de 132 tonnes, a un coût de 215 millions d'euros.
